Pourquoi parler de dépistage précoce
La dysplasie coxofémorale est une affection orthopédique fréquente chez le chien, particulièrement dans les races de taille moyenne à grande, mais pas exclusivement. Elle ne se résume pas à une “mauvaise radio de hanches” observée à l’âge adulte. C’est une maladie du développement, progressive, dont le moteur principal est l’instabilité de l’articulation coxo-fémorale pendant la croissance. Cette instabilité, souvent appelée laxité passive, précède de plusieurs mois, voire de plusieurs années, l’apparition des remaniements osseux visibles sur les radiographies classiques. C’est précisément ce décalage entre l’instabilité initiale et les lésions tardives qui justifie une démarche moderne de dépistage précoce.
Pendant longtemps, le diagnostic reposait surtout sur la radiographie en extension des hanches, typiquement réalisée à la fin de la croissance, avec une lecture morphologique et une recherche de signes d’arthrose. Cette approche reste utile, mais elle détecte davantage les conséquences que le mécanisme initial. Or, lorsqu’on identifie la laxité tôt, avant l’apparition de lésions irréversibles, on peut raisonner différemment. On peut suivre un jeune chien à risque, ajuster son mode de vie, orienter la prévention, et, dans certains cas bien sélectionnés, discuter des options chirurgicales dépendantes de l’âge. Le dépistage précoce n’a donc pas pour but de “coller une étiquette” à un chiot, mais de mesurer un facteur de risque objectif afin de mieux décider, au bon moment.
Exemple de dépistage officiel FCI sur un Beauceron après 12 mois révolus. Ce chien a été classé en “A”.
Comprendre le mécanisme simple derrière une maladie complexe
L’articulation de la hanche est une articulation sphéroïde, où la tête fémorale doit rester bien contenue dans l’acétabulum. Chez le chiot, les structures sont en croissance et l’équilibre entre la forme osseuse, la tension capsulo-ligamentaire et le tonus musculaire est encore en construction. Si la tête fémorale a tendance à se subluxer, même de façon intermittente, cela modifie la répartition des contraintes sur le cartilage et sur le rebord acétabulaire. Avec le temps, cette contrainte anormale favorise des microtraumatismes, des modifications du cartilage, puis un remodelage osseux. À terme, la maladie peut évoluer vers une arthrose douloureuse, responsable de boiterie, raideur, diminution de l’activité, difficulté à se lever, intolérance à l’effort et baisse de qualité de vie.
L’idée centrale est la suivante. La laxité est souvent présente très tôt, alors que l’arthrose est tardive. Une radiographie “correcte” en extension chez un très jeune chien ne signifie pas forcément une hanche stable. À l’inverse, un chien avec une laxité mesurée élevée n’est pas condamné à une arthrose sévère, mais il appartient à une catégorie de risque plus importante. La médecine moderne consiste précisément à quantifier ce risque et à l’accompagner.
Les limites de la radiographie en extension comme seul outil
La radiographie ventro-dorsale en extension des membres postérieurs est un examen standardisé, largement utilisé pour le dépistage officiel dans plusieurs systèmes de cotation. Elle évalue la congruence, la profondeur acétabulaire, la forme de la tête fémorale, l’alignement, et surtout les signes d’arthrose lorsque celle-ci est déjà installée. Elle reste indispensable pour décrire l’état morphologique global et pour suivre l’évolution.
Cependant, elle ne met pas toujours en évidence l’instabilité initiale, car l’extension et la rotation interne peuvent, chez certains chiens, réduire artificiellement la subluxation. Chez le jeune chien, l’absence d’arthrose est la règle, et l’examen morphologique peut être peu discriminant pour prédire le futur. En pratique, cela signifie que la radiographie en extension doit être considérée comme une pièce du puzzle, mais rarement comme la seule réponse quand l’objectif est de prédire l’évolution dès les premiers mois de vie.
Mesurer la laxité passive de manière quantitative
La grande évolution de ces dernières années est l’accès à des méthodes capables de mesurer la laxité passive de façon objective et chiffrée, c’est-à-dire d’objectiver l’instabilité de la hanche avant l’apparition des remaniements arthrosiques visibles sur les clichés conventionnels. L’approche la plus connue est le protocole PennHIP, qui repose sur des radiographies réalisées sous sédation ou anesthésie, dans des positions strictement standardisées, avec une vue de distraction obtenue à l’aide d’un distracteur. Le principe est de quantifier le déplacement de la tête fémorale hors de l’acétabulum sous contrainte, puis de calculer un indice de distraction. Cet indice est une mesure continue, ce qui constitue un avantage majeur : plutôt que de classer les chiens dans quelques catégories, on obtient une valeur chiffrée permettant de comparer des individus, de suivre l’évolution d’un même chien, et de raisonner en termes de risque.
En pratique, PennHIP est adossé à un dispositif de certification et de standardisation très structuré. Les praticiens sont formés, le protocole d’acquisition doit être strictement respecté, et les clichés sont classiquement transmis à un centre de lecture centralisé afin d’assurer une homogénéité des mesures et une comparabilité maximale des résultats, au sein d’une base de données de référence. Ce modèle apporte une grande robustesse méthodologique, mais implique des contraintes organisationnelles et logistiques, avec un circuit d’analyse historiquement centré sur les États-Unis.
À la Clinique Sirius, nous utilisons le distracteur de Vezzoni modifié (VMBDD) dans une démarche strictement comparable sur le plan scientifique et clinique. Cette méthode repose sur le même concept biomécanique fondamental que PennHIP : provoquer une subluxation contrôlée de la tête fémorale sous relaxation musculaire, puis la mesurer de manière standardisée. L’indice de laxité obtenu avec le VMBDD est calculé selon une méthodologie mathématique superposable à celle de l’indice de distraction (rapport entre un déplacement mesuré et un paramètre morphométrique de référence), ce qui garantit une mesure normalisée, continue et comparable. Les études disponibles montrent une relation très étroite entre les indices issus du VMBDD et ceux issus de PennHIP, sans mise en évidence d’un biais systématique entre les deux approches lorsqu’elles sont réalisées dans des conditions rigoureuses de sédation, de positionnement et de mesure. En d’autres termes, les deux techniques quantifient le même phénomène biologique, la laxité passive, avec une précision de niveau équivalent dès lors que la standardisation est respectée.
L’intérêt clinique est identique : l’évaluation est possible tôt, dès les premiers mois, dans une fenêtre où la trajectoire de croissance peut encore être influencée, et l’indice chiffré est associé au risque ultérieur de développement d’arthrose, avec des variations selon les races et les populations. Un indice élevé n’est donc pas un diagnostic d’arthrose, mais un marqueur de risque, utile pour adapter précocement le suivi, mettre en place des mesures conservatrices (gestion de la croissance, de l’exercice, prévention de la surcharge), et discuter, chez certains chiots sélectionnés, des options thérapeutiques dépendantes de l’âge. Cette stratégie permet de passer d’un constat tardif des lésions à une médecine réellement anticipatrice, centrée sur la prévention et l’optimisation du devenir fonctionnel.

Réalisation d’une radiographie de distraction des hanches chez un jeune chien sous sédation, à l’aide du distracteur de Vezzoni modifié (VMBDD). Le dispositif permet de quantifier objectivement la laxité passive coxofémorale dans un positionnement standardisé, avec l’équipe protégée par les équipements de radioprotection.
Vue rapprochée du positionnement et de la mise en place du distracteur de Vezzoni (VMBDD) : les membres pelviens sont alignés et maintenus de façon reproductible pour obtenir une subluxation contrôlée de la tête fémorale. Cette étape conditionne la qualité de la mesure de l’indice de laxité et la fiabilité du dépistage précoce.
Le rôle de l’examen clinique et de la manœuvre d’Ortolani
Le dépistage ne repose pas uniquement sur l’imagerie. L’examen orthopédique garde une place importante, en particulier chez le jeune chien. La manœuvre d’Ortolani est un test de palpation utilisé pour apprécier une instabilité coxo-fémorale sous relaxation musculaire. Réalisée sous sédation profonde ou anesthésie, elle consiste à rechercher une subluxation puis la réduction de la tête fémorale dans l’acétabulum lors de l’abduction du membre. Lorsque la réduction se produit, un ressaut peut être perçu. Ce test est utile comme outil de tri, notamment pour identifier des hanches instables, et pour alimenter une décision d’imagerie quantitative.
Il faut toutefois comprendre ses limites. Un test négatif ne signifie pas toujours absence de laxité mesurée par d’autres méthodes, en particulier chez des chiots très jeunes. À l’autre extrémité, chez certains chiens présentant une maladie très avancée avec remaniements marqués, le ressaut peut devenir difficile à percevoir. C’est pourquoi, en pratique, la manœuvre d’Ortolani doit être intégrée à un raisonnement global, associant examen clinique, contexte de race, historique familial, et imagerie adaptée à l’objectif.
Examen de la hanche gauche par le test d’Ortolani, du point de vue de l’examinateur, accompagné de schémas illustrant les effets du test sur l’articulation coxo-fémorale. (A) Une pression douce est appliquée le long de la diaphyse (flèche) du fémur gauche avec la main droite de l’examinateur, provoquant une subluxation de la hanche. (B) Tout en maintenant cette pression vers le bas (flèche), la hanche est progressivement mise en abduction (flèche courbe) jusqu’à la perception d’un ressaut palpable. L’angle formé entre la face médiale du fémur et une ligne perpendiculaire à la table d’examen est mesuré au moment de la réduction de la hanche et noté comme l’angle de réduction (angle θ). (C) La hanche est mise en adduction (flèche courbe) tout en maintenant la pression vers le bas (flèche) jusqu’à l’apparition d’une subluxation, perçue à la palpation comme une déviation dorsale de la partie proximale du fémur. L’angle formé entre la face médiale du fémur et une ligne perpendiculaire à la table d’examen est noté comme l’angle de subluxation (angle θ).
Source : Hip Dysplasia Clinical Signs and Physical Examination Findings – Jason Syrcle. http://dx.doi.org/10.1016/j.cvsm.2017.02.001
Les projections et techniques de stress radiographique complémentaires
Outre les méthodes de distraction, d’autres techniques de stress radiographique existent pour approcher la stabilité en conditions de pseudo-mise en charge. Le score de subluxation dorsolatérale, souvent appelé DLS, est basé sur un positionnement en décubitus sternal dans un support, avec une configuration destinée à se rapprocher d’une situation d’appui. On estime alors, sur un cliché dédié, la proportion de tête fémorale couverte par l’acétabulum. L’intérêt est d’approcher une notion de stabilité “fonctionnelle” sous contrainte. Ces méthodes restent des modèles radiographiques standardisés, et non une reproduction exacte de la marche, mais elles peuvent compléter la compréhension de la congruence et du comportement articulaire.
La projection du bord acétabulaire dorsal, souvent désignée sous le terme de vue DAR, est un autre outil important. Cette projection vise à visualiser de manière plus directe le rebord dorsal de l’acétabulum, zone essentielle pour la contention de la tête fémorale lorsqu’elle a tendance à se subluxer. Elle permet de rechercher des anomalies précoces du rebord dorsal et de mesurer des paramètres associés à la géométrie acétabulaire, comme la pente acétabulaire dorsale. Cette vue peut aider à mieux comprendre la qualité de la couverture et à alimenter une réflexion pré-thérapeutique chez des jeunes chiens sélectionnés, notamment lorsque l’on discute une chirurgie de recentrage. En contrepartie, elle exige une excellente maîtrise technique, car sa qualité dépend fortement du positionnement.

Installation du patient pour l’acquisition de la projection DAR : chien placé en décubitus sternal, le bassin stabilisé par un support ventral (rouleau) afin d’obtenir une incidence reproductible et une visualisation optimale du rebord acétabulaire dorsal.
Radiographie des hanches en projection du rebord acétabulaire dorsal (DAR), permettant d’évaluer spécifiquement la couverture dorsale de la tête fémorale et de mesurer l’angle d’inclinaison du rebord acétabulaire dorsal (DARA) à droite et à gauche.
Imagerie avancée et décisions individualisées
Dans la majorité des cas, le dépistage repose sur l’examen clinique et la radiographie, notamment les méthodes quantitatives de laxité. Cependant, certaines situations justifient une imagerie avancée.
Le scanner permet une analyse tridimensionnelle de la morphologie de la hanche, de la couverture acétabulaire, et de la congruence. Il est utile pour caractériser plus finement des paramètres osseux, en particulier lorsqu’il existe une discordance entre la clinique, les radiographies, et la suspicion de défaut de couverture. Il peut aussi être utilisé chez le jeune chien pour documenter des changements liés à la croissance et mieux comprendre la géométrie articulaire.
L’IRM n’est pas un examen de dépistage de routine, mais elle rappelle un point fondamental. Le cartilage peut être atteint avant que l’os ne montre des remaniements visibles en radiographie. Dans des contextes particuliers, l’IRM permet d’évaluer les tissus articulaires non osseux et de mieux comprendre certaines douleurs précoces ou atypiques. L’arthroscopie, quant à elle, permet une visualisation directe des surfaces cartilagineuses et peut être indiquée dans des situations ciblées, généralement lorsqu’une décision thérapeutique est envisagée et que l’on souhaite documenter précisément l’état intra-articulaire.

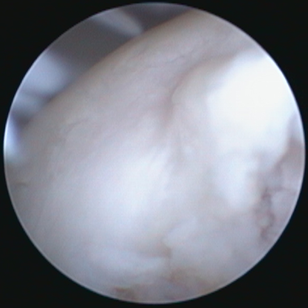
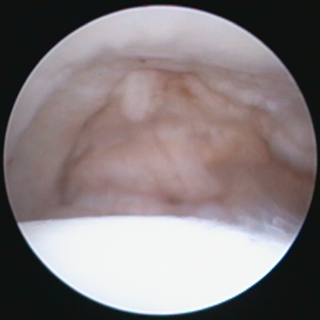
Arthroscopie de la hanche chez un jeune chien de 6 mois présentant une dysplasie sévère avec laxité marquée : aspect de la tête fémorale montrant un cartilage irrégulier avec zones d’érosion et de fibrillation, compatible avec des lésions dégénératives précoces liées à l’instabilité coxo-fémorale.
Arthroscopie de la hanche chez le même patient : visualisation du ligament de la tête fémorale (ligament rond) apparaissant hypertrophié et frangé, avec un aspect remanié et une perte de tension fonctionnelle, compatible avec une atteinte liée à une instabilité coxo-fémorale marquée.
Que faire lorsqu’un dépistage précoce identifie un risque
Le dépistage précoce n’a de sens que s’il débouche sur un plan. Selon le niveau de risque, plusieurs axes sont habituellement discutés.
Surveillance et réévaluation. Chez certains chiens, une laxité modérée justifie surtout un suivi, avec une réévaluation clinique et radiographique programmée, afin de documenter la trajectoire de l’articulation.
Mesures conservatrices immédiates. Le contrôle de la croissance est un levier majeur. Maintenir un état corporel optimal, éviter la prise de poids, et limiter une croissance trop rapide réduit les contraintes sur l’articulation. La gestion de l’exercice est également importante. Il ne s’agit pas de priver le chiot d’activité, mais d’éviter les impacts répétés, les sauts, les escaliers intensifs, et les jeux violents pendant les phases sensibles. Le renforcement musculaire progressif, la proprioception, et des programmes encadrés de rééducation peuvent améliorer le confort et participer à la stabilisation fonctionnelle.
Options chirurgicales dépendantes de l’âge. Chez des chiots sélectionnés, certaines procédures visent à influencer la couverture acétabulaire pendant la croissance. Ces options doivent être discutées au cas par cas, en fonction de l’âge, du niveau de laxité, de la morphologie, et du contexte global. Plus l’identification du risque est précoce, plus la fenêtre d’indication est susceptible d’être ouverte pour ce type de stratégie.
Dépistage et élevage
Le dépistage précoce a aussi un enjeu zootechnique. La dysplasie coxofémorale est multifactorielle, avec une composante génétique et une composante environnementale. Les systèmes de cotation morphologique restent utiles, mais l’introduction de mesures quantitatives de laxité apporte un avantage important pour la sélection. Une variable continue permet de mieux hiérarchiser le risque, de limiter certains effets de seuil, et de piloter une amélioration plus progressive et plus lisible. Sur le long terme, l’objectif est de réduire la prévalence de la maladie au sein des races prédisposées, en combinant sélection raisonnée et bonnes pratiques d’élevage et de croissance.
Notre approche en pratique clinique
Dans une démarche de dépistage précoce, l’enjeu est d’associer rigueur technique, lecture clinique et clarté de communication. L’examen doit être réalisé dans de bonnes conditions de relaxation musculaire, avec des protocoles reproductibles, des mesures fiables, et une interprétation qui distingue bien les notions de laxité, de dysplasie radiographique et d’arthrose. Un résultat de dépistage est un outil d’aide à la décision, pas un verdict isolé. Notre objectif est de proposer une démarche compréhensible, de définir un plan adapté au chien et au projet du propriétaire, et d’assurer un suivi cohérent dans le temps.
Si vous envisagez un dépistage pour un très jeune chien, il est pertinent d’en parler tôt, idéalement dès 12 semaines. Cette anticipation est importante, car elle permet d’objectiver une laxité significative au tout début de la croissance, à un moment où les mesures préventives et l’organisation du suivi sont les plus efficaces. Surtout, chez certains chiots présentant un risque élevé, cette fenêtre très précoce peut conditionner l’accès à des options thérapeutiques dépendantes de l’âge, comme la symphysiodèse pubienne juvénile, qui doit être envisagée avant que la fenêtre d’efficacité ne se referme. Plus l’évaluation est anticipée, plus les options de prévention et de prise en charge sont larges, et plus la trajectoire peut être optimisée, que l’objectif soit le confort du chien de compagnie, la pratique sportive ou un projet d’élevage responsable.