La neurochirurgie représente une part majeure de l’activité de la Clinique Sirius. Elle s’inscrit dans une approche globale de la neurologie clinique, associant examen neurologique approfondi, imagerie avancée, réflexion diagnostique structurée et prise en charge chirurgicale raisonnée lorsque celle-ci est indiquée.
Notre objectif est de proposer, pour chaque patient, une solution adaptée, fondée sur des données cliniques et scientifiques solides, en tenant compte de la pathologie, de l’état général de l’animal et des attentes des propriétaires.

Champ d’intervention en neurochirurgie

La Clinique Sirius prend en charge l’essentiel des affections relevant de la neurochirurgie vétérinaire chez le chien et le chat. Cela inclut les compressions médullaires, qu’elles soient thoraco-lombaires ou cervicales, les atteintes dégénératives, traumatiques ou tumorales, ainsi que certaines affections intracrâniennes.
La démarche repose toujours sur une analyse neurologique précise permettant de localiser la lésion, d’en comprendre le mécanisme et d’orienter les examens complémentaires de manière pertinente.

Hernies discales et compressions médullaires thoracolombaires

Les hernies discales constituent l’un des motifs les plus fréquents de consultation en neurochirurgie. Elles peuvent concerner les régions cervicales ou thoraco-lombaires et entraîner des douleurs importantes, des troubles de la locomotion, voire des déficits neurologiques sévères.
La prise en charge repose sur une imagerie adaptée, principalement le scanner ou l’IRM lorsqu’elle est nécessaire, afin d’évaluer la localisation exacte, l’importance de la compression et l’état de la moelle épinière.
Lorsque le traitement chirurgical est indiqué, différentes techniques de décompression peuvent être proposées, telles que l’hémilaminectomie, la mini-hémilaminectomie, la corpectomie ou encore la foraminotomie.

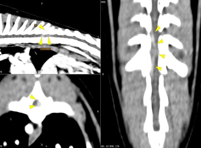
2025-12-31_125154
2025-12-31_125327

Hernie thoracolombaire sur un Teckel.

À gauche, reconstruction scanner multiplanaire mettant en évidence une hernie discale T13–L1 latéralisée à gauche, responsable d’une compression focale de la moelle épinière.
Au centre, vue peropératoire après réalisation d’une hémilaminectomie, avec décompression soigneuse de la moelle épinière à l’aide d’instruments fins dédiés, permettant le retrait progressif du matériel discal compressif.
À droite, scanner de contrôle post-opératoire confirmant une décompression complète, avec retrait intégral du matériel hernié et absence de compression résiduelle sur la moelle épinière.

Pronostic des hernies thoracolombaires

Le pronostic d’une hernie discale thoraco-lombaire dépend de plusieurs facteurs étroitement liés : la sévérité de l’atteinte neurologique au moment de la prise en charge, la durée d’évolution des signes cliniques, le degré de compression de la moelle épinière et la rapidité du traitement chirurgical lorsque celui-ci est indiqué. Ces éléments doivent toujours être interprétés conjointement.

Les stades neurologiques : comprendre la gravité de l’atteinte

L’évaluation neurologique permet de classer les chiens atteints de hernie discale en différents stades, qui constituent le facteur pronostique le plus important.

Les stades légers correspondent à une douleur rachidienne isolée, avec ou sans raideur, sans déficit moteur. À ce stade, la moelle épinière est irritée mais peu comprimée, et le pronostic est généralement excellent, que le traitement soit médical ou chirurgical.

Les stades intermédiaires se caractérisent par une paraparésie, c’est-à-dire une faiblesse des membres postérieurs, parfois associée à une incoordination (ataxie). La marche reste possible, mais elle est anormale. Le pronostic est très bon à excellent après chirurgie, avec un taux de récupération élevé.

Les stades avancés correspondent à une paralysie complète des membres postérieurs. Lorsque la nociception profonde (capacité à percevoir une douleur intense) est conservée, le pronostic reste favorable après décompression chirurgicale, bien que la récupération puisse être plus longue.

Enfin, le stade le plus sévère associe une paralysie complète à une perte de la nociception profonde. Dans ce cas, la moelle épinière a subi une lésion majeure, souvent ischémique et contusive. Le pronostic devient réservé à défavorable, et dépend fortement de la rapidité d’intervention.

Influence du délai de prise en charge

Le temps écoulé entre l’apparition des signes neurologiques sévères et la chirurgie est un élément déterminant. Chez les chiens paralysés avec nociception conservée, une intervention rapide permet une récupération dans la majorité des cas.

En revanche, chez les chiens ayant perdu la nociception profonde, le délai est critique. Une chirurgie réalisée dans les 24 à 48 heures suivant la perte de nociception offre les meilleures chances de récupération fonctionnelle. Au-delà de 48 à 72 heures, le risque de non-récupération augmente nettement, même si une amélioration reste parfois possible.

Rôle du degré de compression médullaire

L’imagerie (scanner ou IRM) permet d’évaluer le volume du matériel discal hernié et le degré de compression de la moelle épinière. Une compression importante, surtout lorsqu’elle est associée à un œdème médullaire ou à des signes de myélomalacie, est corrélée à un pronostic plus réservé.

Cependant, il n’existe pas de seuil absolu de compression prédictif à lui seul : un chien avec une compression marquée peut récupérer très favorablement si la prise en charge est rapide et le stade neurologique modéré, alors qu’une compression plus modérée peut être associée à un pronostic sombre si la nociception est perdue.

Une évaluation globale et individualisée

En pratique, le pronostic repose sur une analyse globale intégrant l’examen neurologique, l’imagerie, la durée d’évolution et l’état général de l’animal. Cette approche permet de proposer une information claire et réaliste aux propriétaires, tout en rappelant que chaque patient reste un cas particulier.

Ce tableau synthétise le pronostic fonctionnel des hernies discales en fonction de la gravité du déficit neurologique initial et du délai de prise en charge chirurgicale. Il illustre de manière très claire deux éléments majeurs en neurochirurgie médullaire : 
le rôle central du stade neurologique au moment du diagnostic et l’importance déterminante de la précocité de l’intervention.

Aux stades I à III, où la nociception profonde est conservée, le pronostic est globalement excellent à très bon. Les patients présentant uniquement une douleur rachidienne ou une paraparésie ambulatoire récupèrent dans la très grande majorité des cas, parfois même sans chirurgie lorsque la réponse au traitement médical est satisfaisante. Lorsque le déficit devient plus marqué, avec une paraparésie non ambulatoire, une décompression chirurgicale précoce permet encore une récupération fonctionnelle élevée, généralement comprise entre 80 et 90 %, la vitesse de récupération dépendant alors du délai opératoire et de la qualité de la prise en charge post-opératoire.

Le stade IV marque un tournant pronostique : bien que la douleur profonde soit toujours présente, la paralysie complète impose une intervention chirurgicale le plus rapidement possible. La récupération reste fréquente, mais plus longue et plus incertaine, avec un risque accru de complications secondaires, notamment la myélomalacie ascendante ou descendante.

Les stades V-A et V-B, caractérisés par la perte de la nociception profonde, correspondent aux situations les plus sévères. Le pronostic dépend alors très étroitement du délai entre la perte de la douleur profonde et la décompression chirurgicale. Lorsque l’intervention est réalisée dans les 24 à 48 heures, une récupération reste possible dans une proportion non négligeable de cas. En revanche, au-delà de 48 heures sans nociception profonde, le pronostic devient nettement défavorable, avec des chances de récupération faibles et imprévisibles.

Dans son ensemble, ce tableau met en évidence l’intérêt d’un diagnostic rapide, d’une évaluation neurologique rigoureuse et d’une orientation précoce vers une prise en charge spécialisée. Il constitue un outil essentiel d’aide à la décision médicale et de communication avec les propriétaires, en permettant d’expliquer de façon claire et réaliste les attentes fonctionnelles selon la situation clinique initiale et le délai de traitement.

Pathologies cervicales et stabilisations vertébrales

Les hernies discales cervicales sont une cause majeure de cervicalgies aiguës ou chroniques, parfois associées à des déficits neurologiques allant de la simple raideur à des troubles de la marche, voire une paralysie. Le traitement chirurgical est indiqué lorsque la douleur est sévère, récidivante ou résistante au traitement médical, ou en présence de déficits neurologiques. La technique de référence repose sur une approche ventrale permettant l’ablation du matériel discal responsable de la compression médullaire. Dans certaines situations particulières, notamment en cas de hernie volumineuse, de compression étendue ou de contraintes anatomiques spécifiques, une corpectomie cervicale peut être envisagée afin d’obtenir une décompression plus large et plus sécurisée. Ces chirurgies exigent une grande précision technique et une parfaite connaissance de l’anatomie cervicale afin de limiter les risques et d’optimiser la récupération fonctionnelle.

L’instabilité atlanto-axiale (C1–C2) concerne principalement les chiens de petit format et peut être d’origine congénitale ou traumatique. Elle résulte d’une défaillance des structures assurant la stabilité entre la première et la deuxième vertèbre cervicale, entraînant une instabilité potentiellement grave avec compression de la moelle épinière. Les signes cliniques peuvent aller de simples douleurs cervicales à des déficits neurologiques sévères. Lorsque la chirurgie est indiquée, l’objectif est de restaurer une stabilité mécanique durable tout en protégeant les structures neurologiques. Plusieurs techniques de stabilisation existent, reposant sur des montages ventraux par vis, broches, plaques ou systèmes combinés.

À la Clinique Sirius, nous intégrons de plus en plus les outils de planification avancée et l’impression 3D dans la prise en charge de ces instabilités complexes. La modélisation préopératoire permet d’adapter précisément la stratégie chirurgicale à l’anatomie du patient, et le recours à des plaques ou guides spécifiques imprimés en 3D contribue à améliorer la précision des implants et la sécurité du geste chirurgical. Cette approche personnalisée s’inscrit dans une volonté constante d’optimisation des résultats et de réduction des risques opératoires.

3D_MPR_-_hirault_ULA_-_12_11_2025_20_04_01_-_OS_RACHIS_1.0_0000
3D_VR_-_hirault_ula_-_14_11_2025_21_25_01_-_TISSUS_MOUS_RACHIS_1.0_0000
3D_MPR_-_hirault_ula_-_14_11_2025_21_25_01_-_TISSUS_MOUS_RACHIS_1.0_0000

Scanner cervical pré- et postopératoire – Hernie discale C3–C4 traitée par corpectomie.
À gauche : examen tomodensitométrique préopératoire montrant une hernie discale cervicale C3–C4 nettement latéralisée à droite, responsable d’une compression médullaire.
Au centre : scanner de contrôle postopératoire immédiat avec reconstruction 3D, mettant en évidence une corpectomie C3–C4 parfaitement centrée sur l’espace intervertébral, conforme à la planification chirurgicale.
À droite : reconstruction multiplanaire postopératoire confirmant que la fenêtre de corpectomie permet une décompression complète de la moelle épinière, y compris sur la composante latéralisée de la hernie.

luxation
20201105_175203
IAA-007

Instabilité atlanto-axiale sur un York Shire.

À gauche, reconstruction tridimensionnelle d’une luxation atlanto-axiale montrant clairement, grâce à la flèche, la dent de l’axis qui migre dans le foramen de l’atlas et exerce une compression directe sur la moelle épinière.
Au centre, modèle anatomique imprimé en 3D à partir des données scanner, utilisé pour analyser précisément l’anatomie du patient et planifier l’intervention chirurgicale.
À droite, plaque personnalisée imprimée en titane en 3D, conçue sur mesure à partir de la morphologie vertébrale du patient et utilisée pour assurer la stabilisation atlanto-axiale lors de la chirurgie.

Traumatismes, fractures et luxations vertébrales

La Clinique Sirius prend également en charge les traumatismes vertébraux, incluant fractures et luxations, souvent rencontrés à la suite d’accidents de la voie publique ou de chutes.
Ces situations nécessitent une évaluation rapide et complète afin de déterminer la stabilité de la colonne vertébrale, l’impact sur la moelle épinière et le pronostic neurologique.
Lorsque la chirurgie est indiquée, l’objectif est de décomprimer les structures nerveuses lorsque cela est possible et de stabiliser la colonne vertébrale afin de permettre une récupération fonctionnelle optimale et de limiter la douleur.

2026-01-01_174525

Stabilisation chirurgicale d’une luxation vertébrale T13–L1 post-traumatique chez un Berger australien.

De gauche à droite et de haut en bas, cette série d’images illustre la prise en charge chirurgicale d’une luxation vertébrale T13–L1 consécutive à un accident de la voie publique. La première image montre la reconstruction tridimensionnelle préopératoire, la flèche verte identifiant précisément le site de la luxation vertébrale. La seconde image correspond au début de l’intervention chirurgicale, avec exposition du foyer lésionnel et réduction progressive de la luxation à l’aide de daviers, sous contrôle visuel strict. La troisième image illustre l’implantation des broches de stabilisation vertébrale, un temps particulièrement délicat nécessitant un positionnement millimétrique selon des angles prédéfinis à partir de l’analyse scanner préopératoire. La quatrième image montre l’ensemble des broches une fois mises en place dans le rachis, assurant la stabilisation segmentaire. La cinquième image correspond à la phase de consolidation du montage, après recoupe des broches et mise en place d’un ciment de polyméthylméthacrylate permettant de solidariser l’ensemble. Enfin, la dernière image présente le contrôle scanner post-opératoire immédiat, confirmant le positionnement correct des implants, l’absence de pénétration dans le canal médullaire et la restauration satisfaisante de l’alignement vertébral.

Tumeurs médullaires et affections compressives complexes

Les tumeurs médullaires et péri-médullaires font partie des pathologies plus rares mais particulièrement complexes en neurochirurgie. Leur prise en charge nécessite une imagerie de haute qualité, une analyse précise de leur localisation et de leur extension, ainsi qu’une discussion approfondie sur les options thérapeutiques.
Dans certains cas, une intervention chirurgicale peut être proposée afin de réduire la compression médullaire, d’obtenir un diagnostic histologique ou d’améliorer le confort et la qualité de vie de l’animal.

2026-01-01_182359

Exérèse d’une tumeur méningée thoracique chez un chat.

L’image de gauche correspond aux reconstructions scanner multiplanaires mettant en évidence une tumeur méningée thoracique responsable d’une compression médullaire sévère. Les flèches soulignent la prise de contraste intense et bien délimitée de la masse, ainsi que son effet compressif marqué sur la moelle épinière. L’aspect est typique d’une lésion extra-médullaire, clairement distincte d’une hernie discale, expliquant le tableau neurologique initial très grave avec paralysie complète de stade V.

L’image centrale illustre l’abord chirurgical peropératoire après exposition de la vertèbre concernée. Une laminectomie ciblée est réalisée afin d’accéder à l’espace épidural et à la lésion. Cette étape requiert une dissection extrêmement minutieuse, dans un environnement anatomique restreint, afin de préserver l’intégrité de la moelle épinière et des structures adjacentes.

L’image de droite montre l’aspect de la tumeur après ouverture osseuse et exérèse. La masse est individualisée puis retirée avec précision, permettant une décompression complète de la moelle épinière. Malgré la sévérité du déficit neurologique préopératoire, l’évolution clinique a été très favorable, avec une récupération fonctionnelle complète du chat après l’intervention, illustrant l’intérêt et l’efficacité de ce type de chirurgie neuro-oncologique lorsqu’elle est réalisée dans des conditions optimales.

Chirurgie intracrânienne

La Clinique Sirius réalise également certaines interventions intracrâniennes, notamment dans le cadre de l’hydrocéphalie ou d’autres affections spécifiques du système nerveux central.
Ces procédures, particulièrement exigeantes sur le plan technique et anesthésique, nécessitent une planification rigoureuse, une connaissance approfondie de l’anatomie et une coordination étroite entre les équipes de chirurgie, d’anesthésie et de soins intensifs.

3D_MPR_-_ballaman_izaman_-_20_09_2022_08_43_27_-_CRANE_CRANE_0000

Chirurgie d’un méningiome.

Coupe scanner sagittale du crâne d’un bouledogue français montrant une masse intracrânienne frontale prenant intensément le contraste, située au point de croisement des lignes de repérage, compatible avec une tumeur méningée responsable des signes neurologiques.

Installation et préparation chirurgicale du patient en salle de neurochirurgie, dans un environnement dédié et entièrement équipé pour les procédures intracrâniennes complexes.

Mise en évidence peropératoire de la tumeur après trépanation crânienne, avec exposition directe de la lésion et dissection minutieuse des structures adjacentes afin de préserver le parenchyme cérébral sain.

Aspect du site opératoire après exérèse tumorale et fermeture, illustrant une reconstruction soigneuse et une fermeture étanche des plans.

Phase de soins intensifs en post-opératoire immédiat, avec surveillance neurologique rapprochée en couveuse afin d’optimiser la récupération et de prévenir les complications précoces.

Examen clinique le lendemain de l’intervention montrant un chien en excellent état général, totalement récupéré sur le plan neurologique, sans déficit résiduel.

Il est rappelé que les tumeurs méningées bénéficient classiquement, lorsque cela est possible, d’un traitement complémentaire par radiothérapie afin d’améliorer le contrôle tumoral à long terme. Dans ce cas précis, cette option n’a pas été mise en œuvre, mais l’animal a néanmoins conservé une qualité de vie satisfaisante pendant plusieurs mois avant une dégradation secondaire liée à l’évolution de la maladie.

Imagerie et planification en neurochirurgie

La neurochirurgie repose de manière indissociable sur l’imagerie avancée. Le scanner occupe une place centrale dans l’évaluation des affections vertébrales et médullaires, permettant des reconstructions multiplanaires et tridimensionnelles indispensables à la compréhension des lésions.
Lorsque cela est nécessaire, notamment pour certaines affections intracrâniennes ou médullaires spécifiques, un examen IRM peut être réalisé en collaboration avec des structures partenaires équipées, afin d’obtenir les informations les plus pertinentes avant toute décision thérapeutique.

Formation et transmission en neurochirurgie

L’expertise de la Clinique Sirius en neurochirurgie est reconnue au niveau national, et nous organisons régulièrement des formations dédiées à cette discipline. La neurochirurgie fait partie intégrante de notre pratique quotidienne, c’est un domaine qui nous tient particulièrement à cœur, dans lequel nous nous sommes beaucoup formés au fil des années, et que nous transmettons aujourd’hui avec une exigence forte de rigueur, de sécurité et de reproductibilité des gestes.

Ces formations sont conçues comme un parcours progressif, structuré en plusieurs niveaux, afin d’accompagner les vétérinaires dans une montée en compétence cohérente. Le niveau 1 est orienté vers les fondamentaux des décompressions médullaires, en particulier dans la prise en charge des hernies discales thoraco-lombaires et cervicales, avec une approche centrée sur l’analyse clinique, l’interprétation de l’imagerie, les indications et les principes opératoires. Le niveau 2 se concentre sur les stabilisations vertébrales, en intégrant les principes de planification, les trajectoires de sécurité, le choix des implants et la logique biomécanique des montages. Le niveau 3 aborde les situations les plus complexes du rachis, telles que les fractures et luxations vertébrales, ainsi que des affections plus exigeantes où la stratégie chirurgicale, la gestion des risques et l’organisation du suivi post-opératoire sont déterminantes.

L’enseignement repose sur une alternance entre apports théoriques, discussion de cas cliniques et travaux pratiques, afin de relier la décision médicale au geste chirurgical et de sécuriser l’exécution technique. Lorsque cela est pertinent, l’impression 3D est utilisée comme support pédagogique pour visualiser l’anatomie, simuler un abord, répéter une trajectoire ou comprendre une stabilisation. Cette démarche s’inscrit dans une philosophie simple : ne pas découvrir une technique directement sur le vivant, mais la préparer et la répéter sur des modèles, afin de réduire l’incertitude peropératoire et d’améliorer la maîtrise des procédures.

Ces formations ont, pendant plusieurs années, bénéficié de l’intervention du Professeur Pierre Moissonnier, dont l’expérience a fortement contribué à structurer l’approche et l’exigence technique. Aujourd’hui, la continuité est assurée par la Dre Margaux Blondel (DECVS) formée dans cette lignée, et qui apporte une expertise solide et une grande rigueur, permettant de maintenir un niveau d’enseignement élevé, ancré dans la réalité clinique et les problématiques rencontrées au quotidien.

6
5
4
3
© Clinique Sirius • Made by Yume