La hanche est une articulation essentielle chez le chien. Elle joue un rôle central dans la locomotion, en assurant la propulsion, la stabilité et l’endurance du membre postérieur. Soumise à des contraintes mécaniques importantes tout au long de la vie, elle peut être le siège de pathologies sévères entraînant douleur chronique et perte de fonction. Lorsque ces affections deviennent trop avancées pour être contrôlées efficacement par un traitement médical ou des solutions conservatrices, la prothèse totale de hanche constitue aujourd’hui une option thérapeutique fiable et éprouvée.

Qu’est-ce qu’une prothèse totale de hanche

La prothèse totale de hanche consiste à remplacer l’articulation coxo-fémorale pathologique par une articulation artificielle. Elle comprend un composant fémoral, qui remplace la tête et le col du fémur, un composant acétabulaire, qui remplace la surface articulaire du bassin, et une surface de glissement entre les deux. L’objectif est de recréer une articulation stable, mobile et fonctionnelle, capable de supporter durablement les contraintes liées à la locomotion du chien, tout en supprimant la source mécanique de la douleur.

Contrairement aux traitements médicaux, qui visent principalement à contrôler la douleur et l’inflammation, la prothèse totale de hanche agit directement sur la cause mécanique du problème. Elle permet ainsi une amélioration fonctionnelle souvent marquée et durable lorsque l’indication est correctement posée.

Pourquoi proposer une prothèse totale de hanche

La prothèse totale de hanche n’est ni une chirurgie de confort ni une solution de première intention. Elle est proposée lorsque l’articulation est devenue durablement douloureuse et insuffisamment fonctionnelle, malgré une prise en charge médicale bien conduite. Les principales situations concernées sont la dysplasie de la hanche sévère, l’arthrose avancée ou terminale, certaines luxations chroniques irréductibles, ainsi que des séquelles traumatiques complexes.

Dans ces contextes, la douleur est liée à la disparition progressive du cartilage articulaire, à l’incongruence des surfaces articulaires, à l’inflammation chronique et aux contraintes mécaniques anormales exercées sur l’os. Lorsque ces mécanismes ne peuvent plus être compensés, la prothèse permet de restaurer une biomécanique articulaire plus proche de la normale et d’améliorer significativement le confort de vie du chien.

Chez les chiens correctement sélectionnés, la majorité des études cliniques rapportent une amélioration nette de l’appui, de la mobilité et du comportement, avec une diminution durable de la douleur.

Quels chiens peuvent bénéficier d’une prothèse totale de hanche ?

L’indication d’une prothèse totale de hanche repose toujours sur une évaluation individualisée. Elle ne se fonde jamais uniquement sur l’aspect radiographique de la hanche. L’examen clinique, l’analyse de la douleur réelle, du fonctionnement quotidien du chien, de son niveau d’activité et de son environnement sont essentiels.

La prothèse est principalement indiquée chez des chiens adultes, présentant une douleur significative et persistante associée à une perte de fonction. Chez les chiens très jeunes ou en croissance, la pose d’une prothèse est généralement déconseillée en raison de l’immaturité osseuse. Certaines affections générales non stabilisées, des troubles neurologiques importants ou un contexte infectieux actif constituent également des contre-indications.

La décision finale repose sur une analyse du rapport bénéfice-risque, avec pour objectif d’apporter un bénéfice fonctionnel réel et durable au chien.

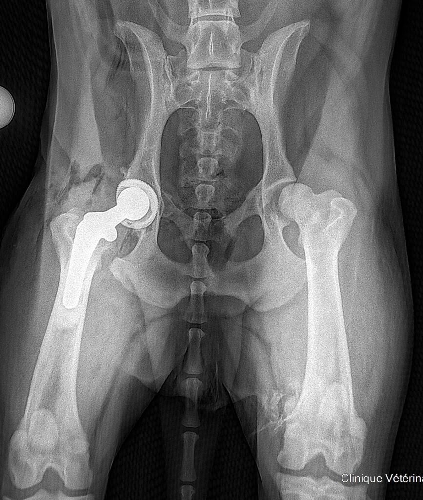
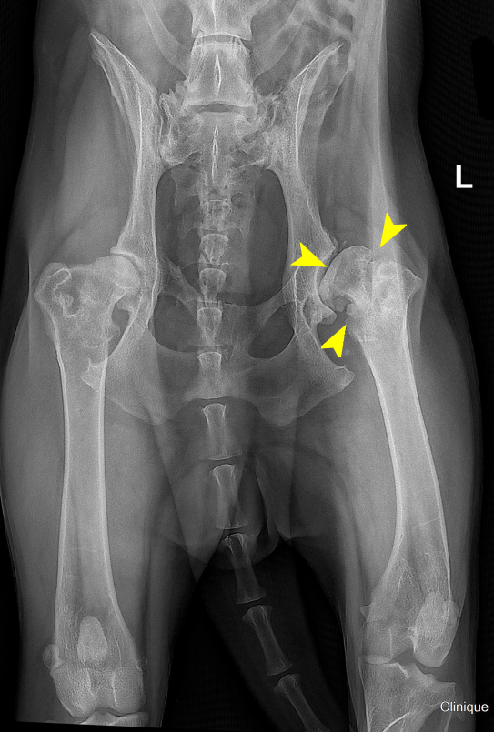
Radiographie de hanches chez un Berger Allemand de 5 ans présentant une coxarthrose bilatérale sévère, marquée à gauche par une déformation importante de la tête et du col fémoral, ainsi qu’une arthrose avancée.

Les différents types de prothèses de hanche

Il existe plusieurs systèmes de prothèse totale de hanche chez le chien. Ils se distinguent principalement par leur mode de fixation à l’os et par la conception des implants.

Les prothèses peuvent être fixées à l’aide de ciment osseux, sans ciment par fixation biologique, ou selon une combinaison des deux techniques. Les systèmes modernes sont le plus souvent modulaires, permettant d’adapter précisément la taille et la géométrie des implants à la morphologie du chien. Cette modularité contribue à optimiser la stabilité articulaire, la biomécanique du membre et la durabilité des résultats.

Le choix du type de prothèse et du mode de fixation est déterminé lors de la planification préopératoire, en fonction de la morphologie du chien, de la qualité osseuse et des contraintes anatomiques spécifiques.

Exemples de montages possibles. Une PTH peut être impactée directement dans l’os (système BFX) ou cimentée (système CFX). Les deux systèmes sont prévus pour cohabiter dans toutes les configurations possibles : cup et stem BFX, CFX ou mélange des deux en fonction des paramètres mécaniques et biologiques du chien. 
Source : https://biomedtrix.com/total-hip-replacement/

Déroulement général de la chirurgie

La chirurgie de prothèse totale de hanche est une intervention orthopédique majeure, réalisée sous anesthésie générale et dans des conditions strictes d’asepsie. Elle suit des étapes rigoureuses, incluant l’ablation de la tête fémorale pathologique, la préparation de l’acétabulum, la mise en place du composant acétabulaire, puis la préparation du fémur et l’implantation de la tige fémorale.

Des contrôles peropératoires permettent d’évaluer la stabilité de l’articulation reconstruite, l’amplitude des mouvements et la longueur du membre. Une fermeture anatomique soigneuse des tissus mous est essentielle pour limiter le risque de complications précoces.

Impaction de la cup après alésage de la cavité acétabulaire.

Radiographie postopératoire immédiate après pose d’une PTH. Dans ce cas, la cup a été impactée et la stem cimentée.

Suites opératoires et récupération

La récupération après une prothèse totale de hanche est une phase déterminante du succès de l’intervention. La gestion de la douleur, la reprise contrôlée de l’appui et la rééducation fonctionnelle jouent un rôle central.

La plupart des chiens commencent à poser le membre opéré rapidement après la chirurgie, mais les déplacements doivent rester strictement encadrés durant les premières semaines. Le repos n’est pas strict, mais contrôlé, avec des sorties en laisse courtes et progressives. La physiothérapie permet de restaurer l’amplitude de mouvement, de renforcer la musculature et de limiter les compensations.

La récupération s’effectue sur plusieurs semaines à plusieurs mois, avec un suivi postopératoire régulier afin d’adapter les consignes et de détecter précocement toute complication.

Résultats attendus et limites

Lorsqu’elle est correctement indiquée et réalisée, la prothèse totale de hanche permet le plus souvent une amélioration marquée et durable de la qualité de vie. La douleur est significativement réduite, la mobilité s’améliore et le chien retrouve une activité compatible avec une vie quotidienne normale.

Il est cependant important de rappeler qu’une prothèse ne recrée pas une articulation “neuve”. Il s’agit d’une articulation artificielle performante, mais soumise à des contraintes mécaniques spécifiques. La gestion du poids, de l’activité et le respect des consignes à long terme sont essentiels pour préserver la durabilité du résultat.

Une approche globale à la Clinique Sirius

À la Clinique Sirius, la prothèse totale de hanche s’inscrit dans une démarche globale, raisonnée et individualisée. Chaque indication est soigneusement évaluée, chaque intervention planifiée avec précision, et chaque patient accompagné avant, pendant et après la chirurgie.

L’objectif constant est d’apporter un bénéfice fonctionnel réel, mesurable et durable, au service du confort, de la mobilité et du bien-être du chien.

© Clinique Sirius • Made by Yume