À la Clinique Sirius, la chirurgie orthopédique occupe une place centrale dans la prise en charge des affections de l’appareil locomoteur chez le chien et le chat. Elle concerne l’ensemble des pathologies du squelette appendiculaire, des os, des articulations, des cartilages et des structures périarticulaires, qu’elles soient d’origine traumatique, développementale, dégénérative ou acquise. Ces affections peuvent toucher des animaux jeunes en croissance comme des animaux adultes ou âgés, avec pour conséquence une douleur, une boiterie, une perte de mobilité et, à plus long terme, une altération de la qualité de vie. L’objectif de la chirurgie orthopédique est de restaurer une fonction locomotrice la plus proche possible de la normale, tout en limitant la douleur, les complications et l’évolution vers l’arthrose.

Prise en charge globale des fractures des membres

La Clinique Sirius assure la prise en charge de l’ensemble des fractures des membres thoraciques et pelviens, quelle que soit leur localisation ou leur complexité. Cela inclut les fractures simples, comminutives, articulaires, métaphysaires ou diaphysaires, ainsi que les fractures ouvertes ou associées à des lésions importantes des tissus mous. Chaque fracture fait l’objet d’une analyse rigoureuse intégrant l’examen clinique, l’imagerie médicale et l’évaluation de l’état général de l’animal. Le choix de la technique chirurgicale repose sur des principes biomécaniques précis afin d’obtenir une stabilisation fiable, une consolidation osseuse optimale et une récupération fonctionnelle durable. Les techniques employées comprennent l’ostéosynthèse par plaques et vis, les clous centromédullaires, les fixateurs externes ainsi que les techniques de réduction mini-invasive lorsque celles-ci sont indiquées. Une attention particulière est portée au respect des axes anatomiques, à la restauration de la longueur du membre et à l’alignement articulaire.

La chirurgie orthopédique inclut également la prise en charge des fractures du bassin et des lésions associées de la hanche. Les fractures iliaques, ischiatiques, pubiennes et les disjonctions sacro-iliaques, souvent consécutives à des traumatismes à haute énergie, nécessitent une approche méthodique afin de restaurer la stabilité pelvienne et de préserver la fonction locomotrice. Les fractures de la tête et du col fémoral, les fractures acétabulaires ainsi que les luxations coxo-fémorales sont également traitées chirurgicalement lorsque l’indication est posée, dans le but de limiter la douleur et d’optimiser la récupération fonctionnelle.

De gauche à droite : Pose d’un clou verrouillé sur une fracture du fémur. Ostéosynthèse par voie mini invasive sur une fracture du tibia. Préparation d’une chirurgie assistée par fluoroscopie.

Pathologies articulaires du chien et du chat

Les principales affections articulaires font partie intégrante de l’activité de chirurgie orthopédique. La rupture du ligament croisé crânial du genou constitue l’une des causes les plus fréquentes de boiterie du membre pelvien chez le chien. Différentes techniques chirurgicales peuvent être proposées en fonction de la morphologie de l’animal, de son âge, de son poids et de son niveau d’activité. Ces interventions visent à restaurer la stabilité articulaire, à améliorer le confort et à ralentir l’évolution des lésions dégénératives. Les luxations de la rotule, qu’elles soient médiales ou latérales, sont également prises en charge. Le traitement chirurgical permet de recentrer la rotule, de corriger les anomalies osseuses associées et d’assurer une stabilisation durable de l’articulation du genou.

Réalisation d’une TPLO sur un chien atteint de rupture du ligament croisé crânial.

Troubles de croissance et déviations angulaires

Les affections du squelette en croissance occupent une place importante en chirurgie orthopédique. La Clinique Sirius prend en charge les troubles de l’ossification, les anomalies de fermeture des cartilages de croissance et les déviations angulaires des membres chez le jeune animal. Ces pathologies nécessitent une détection précoce et une planification rigoureuse afin de corriger les axes osseux, de préserver la fonction articulaire et de limiter les séquelles à l’âge adulte. En fonction de l’âge et du potentiel de croissance résiduel, des techniques de correction progressive ou immédiate peuvent être mises en œuvre.

Radius curvus d’origine traumatique sur une jeune chienne croisée Mâtin Espagnol traitée par ostectomie ulnaire et fermeture partielle de la plaque de croissance distale du radius.

Pathologies de l’épaule et du coude

Les affections de l’épaule et du coude font partie des indications régulièrement rencontrées. Certaines composantes de la dysplasie du coude peuvent nécessiter une prise en charge chirurgicale ciblée afin de réduire la douleur et d’améliorer la mobilité articulaire. L’épaule est également le siège de pathologies spécifiques, parmi lesquelles l’ostéochondrite disséquante de la tête humérale représente une cause fréquente de boiterie chez le chien jeune de grande taille.

L’ostéochondrite disséquante de l’épaule résulte d’un défaut de maturation du cartilage articulaire, entraînant la formation d’un fragment cartilagineux instable ou détaché. Cette affection est responsable de douleur, de boiterie et d’une inflammation articulaire chronique pouvant évoluer vers une arthrose précoce. Le traitement chirurgical est généralement indiqué, mais les techniques conventionnelles présentent certaines limites. Le curetage simple conduit à la formation d’un fibrocartilage de qualité mécanique inférieure, tandis que les greffes ostéochondrales sont limitées par la taille des lésions et le risque de morbidité au site donneur. Les implants de resurfaçage synthétiques peuvent quant à eux être associés à des phénomènes d’usure, d’instabilité ou de réaction inflammatoire selon les matériaux utilisés.

Dans ce contexte, la Clinique Sirius a développé une solution innovante reposant sur l’utilisation d’implants intra-articulaires en céramique biphasique spécifiquement conçus pour le traitement de l’ostéochondrite disséquante de l’épaule chez le chien. Ces implants ont été mis au point afin de répondre aux contraintes mécaniques et biologiques de l’articulation scapulo-humérale. Ils associent une structure poreuse favorisant l’intégration osseuse à une surface articulaire dense, lisse et résistante, destinée à s’articuler de façon congruente avec la glène tout en limitant l’usure et l’inflammation.

La céramique biphasique présente des propriétés particulièrement intéressantes en chirurgie orthopédique. Elle est hautement biocompatible, chimiquement stable, résistante à la déformation et génère très peu de débris d’usure. Son utilisation est bien établie en orthopédie humaine et son développement en médecine vétérinaire ouvre de nouvelles perspectives pour la réparation articulaire. L’implant est mis en place après préparation précise de la lésion, selon un principe de fixation par press-fit, permettant une stabilité immédiate et une intégration progressive dans l’os sous-chondral.

Les premiers résultats cliniques obtenus avec ces implants en céramique biphasique sont très encourageants. Les animaux traités présentent une amélioration marquée de la boiterie à court terme, avec une récupération fonctionnelle rapide dans la majorité des cas. L’imagerie postopératoire montre une bonne intégration osseuse de la partie poreuse, sans signe d’instabilité, de migration ou de réaction inflammatoire majeure. 

Vous voulez en savoir plus sur la technique ?

Traitement d’une lésion d’OCD de l’épaule sur un jeune Labrador grâce aux implants biphasiques développés à Limoges. De gauche à droite et de haut en bas : Abord de l’épaule par la technique de Chéli modifiée, élévation du lambeau cartilagineux, création du lit pour la prothèse en céramique, lambeau cartilagineux de 1 cm, implant biphasique en céramique, implant posé dans la tête humérale.

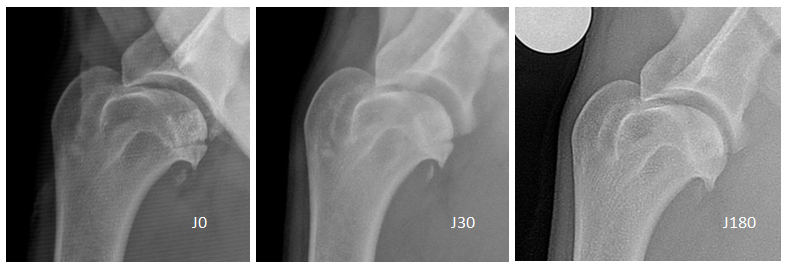
Contrôles radiographiques à J30, J90 et J180 après implantation d’un implant biphasique en céramique. La céramique est parfaitement biocompatible et elle s’intègre parfaitement dans l’os.

Courte vidéo de l’évolution postopératoire d’un jeune Border Collie ayant bénéficié d’un traitement de l’OCD de l’épaule par un implant biphasique en céramique élaboré à Limoges.

Une prise en charge orthopédique intégrée

La chirurgie orthopédique à la Clinique Sirius ne se limite pas à l’acte chirurgical. Chaque intervention s’inscrit dans une prise en charge globale incluant la gestion de la douleur, le suivi postopératoire, les conseils de convalescence et, lorsque cela est indiqué, la mise en place d’un programme de rééducation fonctionnelle. Cette approche permet d’optimiser la récupération, de réduire les risques de complications et d’accompagner durablement les animaux et leurs propriétaires tout au long du processus de guérison.

Vous voulez en savoir plus sur les techniques de la clinique et nos publications ?

© Clinique Sirius • Made by Yume