La chirurgie des tissus mous constitue une part essentielle de l’activité chirurgicale de la Clinique Sirius. Elle regroupe l’ensemble des interventions portant sur les organes internes, les tissus non osseux et non articulaires, et concerne des domaines très variés de la médecine vétérinaire. Cette activité s’adresse aussi bien aux chiens qu’aux chats et couvre un large spectre de situations, allant de la chirurgie programmée à la chirurgie d’urgence.

La totalité des actes de chirurgie des tissus mous est réalisée sur place, grâce à une organisation adaptée, un plateau technique complet et une prise en charge globale intégrant l’imagerie, l’anesthésie, la surveillance et le suivi postopératoire.

Qu’est-ce que la chirurgie des tissus mous

La chirurgie des tissus mous regroupe toutes les interventions chirurgicales qui ne concernent ni l’orthopédie ni la chirurgie osseuse. Elle inclut notamment la chirurgie abdominale, thoracique, urinaire, hépatique, digestive, vasculaire, ainsi que la chirurgie des tissus superficiels et des organes internes.

Ces interventions peuvent avoir des objectifs très différents, diagnostiques, thérapeutiques ou palliatifs, et concernent des pathologies congénitales, inflammatoires, infectieuses, traumatiques ou tumorales.

La diversité des situations rencontrées impose une approche rigoureuse, une évaluation précise de chaque patient et une adaptation permanente de la stratégie chirurgicale au contexte clinique.

Une prise en charge globale et structurée

Avant toute intervention de chirurgie des tissus mous, une évaluation complète du patient est réalisée. Elle repose sur l’examen clinique, les examens d’imagerie nécessaires (radiographie, échographie, scanner selon les indications), ainsi que sur des analyses biologiques permettant d’évaluer l’état général et les risques anesthésiques.

La chirurgie est réalisée dans un bloc opératoire dédié, avec une anesthésie générale adaptée à chaque patient, une analgésie multimodale et une surveillance continue pendant toute la durée de l’intervention. La sécurité anesthésique et le confort de l’animal sont des priorités constantes.

Après l’intervention, les patients bénéficient d’une surveillance postopératoire attentive, avec un suivi de la douleur, de l’état général, de la cicatrisation et des fonctions vitales. Les consignes postopératoires sont adaptées à chaque type de chirurgie et expliquées de manière claire aux propriétaires.

Chirurgie digestive et abdominale

La chirurgie digestive représente une part importante de l’activité de tissus mous. Elle inclut notamment les entérotomies et les entérectomies, réalisées en cas de corps étrangers digestifs, de lésions intestinales, de nécrose ou de tumeurs.

La chirurgie gastrique, intestinale et colique est réalisée aussi bien en urgence qu’en chirurgie programmée. L’objectif est de traiter la cause du trouble digestif tout en préservant au maximum la fonction digestive et en limitant les complications postopératoires.

La chirurgie abdominale comprend également l’exploration chirurgicale de l’abdomen lorsqu’un diagnostic précis est nécessaire, ou lorsqu’une imagerie ne permet pas de conclure avec certitude.

Gastrotomie sur corps étranger.

Chirurgie hépatique et shunts porto-systémiques

La prise en charge chirurgicale des shunts porto-systémiques fait partie de notre activité de chirurgie des tissus mous. Nous intervenons sur les shunts extra-hépatiques comme sur les shunts intra-hépatiques, après un bilan diagnostic complet et une planification rigoureuse.

Il s’agit d’une chirurgie exigeante, qui nécessite une analyse précise de l’anatomie vasculaire, une maîtrise des risques peropératoires et une surveillance postopératoire attentive. Selon la configuration du shunt et la tolérance hémodynamique du patient, l’occlusion peut être réalisée de façon directe lorsque cela est possible, ou de manière progressive à l’aide d’obturateurs hydrauliques, afin de réduire le risque d’hypertension portale.

Dans certains cas complexes, nous avons recours à l’impression 3D à partir des données d’imagerie pour mieux comprendre l’anatomie, anticiper les difficultés et planifier l’intervention chirurgicale de façon très précise.

Chirurgie d’un shunt porto-systémique intra-hépatique complexe.

À gauche, impression 3D du foie et du réseau vasculaire réalisée à partir des données d’imagerie, indispensable pour analyser l’anatomie d’un shunt porto-systémique intra-hépatique multiple particulièrement complexe et planifier l’intervention.
Au centre, mise en place peropératoire d’un obturateur hydraulique directement sur le shunt, permettant une occlusion contrôlée du flux anormal.
À droite, implantation de la chambre d’accès sous-cutanée, utilisée pour gonfler progressivement l’obturateur hydraulique et obtenir une atténuation graduelle du shunt, afin de limiter les risques physiologiques liés à une occlusion brutale.

Chirurgie urinaire

La chirurgie urinaire regroupe les interventions portant sur la vessie, l’urètre et, dans certains cas, les voies urinaires supérieures. Elle inclut notamment les chirurgies de calculs urinaires, les cystotomies, ainsi que les urétrostomies lorsque cela est indiqué.

Ces interventions sont réalisées dans un objectif fonctionnel et de confort pour l’animal, après une évaluation précise du contexte médical, des examens d’imagerie et des analyses urinaires.

La gestion de la douleur, la prévention des infections et le suivi de la fonction urinaire sont des éléments essentiels de la prise en charge postopératoire.

Reconstruction urétrale exceptionnelle chez le chat par greffe de muqueuse linguale.

En haut à gauche, urétrostomie périnéale compliquée par une sténose sévère, responsable d’une anurie complète imposant une reprise chirurgicale.
En haut au centre, prélèvement d’un fragment de muqueuse linguale, utilisé comme tissu de substitution faute de longueur urétrale suffisante.
En haut à droite, préparation de la muqueuse après dégraissage complet et retrait des plans musculaires, puis mise en forme autour d’une sonde guide sur support afin de confectionner un néo-urètre tubulaire d’environ 15 mm.
En bas à gauche, néo-urètre tubulaire prêt à être implanté.
En bas au centre, mise en place de la sonde et anastomose du néo-urètre à l’urètre existant et à la peau, correspondant à une solution de reprise ultime, rare et décrite de façon exceptionnelle dans la littérature.
En bas à droite, résultat à 90 jours montrant une urétrostomie stable, fonctionnelle, sans récidive de sténose, avec une miction normale, illustrant la capacité de la Clinique Sirius à réaliser ce type d’intervention rare lorsque la situation l’exige.

Chirurgie thoracique

La chirurgie thoracique fait également partie des compétences développées à la Clinique Sirius. Elle concerne notamment la prise en charge de masses thoraciques, de tumeurs pulmonaires, d’abcès pulmonaires, de corps étrangers intrathoraciques ou de certaines affections de la cavité thoracique.

Ces interventions nécessitent une planification précise, une anesthésie spécifique et une surveillance respiratoire étroite. La décision de chirurgie thoracique repose toujours sur une évaluation bénéfice-risque individualisée pour chaque patient.

Abcès thoracique volumineux sur un chat.

Les reconstructions en MPR montrent une volumineuse collection liquidienne intrathoracique compatible avec un abcès pulmonaire majeur.
La lésion occupe la quasi-totalité de l’hémithorax, avec un effet de masse très marqué.
Le cœur est nettement refoulé vers la droite, traduisant une compression médiastinale sévère.
Le parenchyme pulmonaire adjacent est fortement comprimé, avec une réduction majeure des volumes ventilés.
L’ensemble des images explique la dyspnée aiguë observée cliniquement et l’incapacité respiratoire du patient.
Ces éléments justifient une prise en charge chirurgicale thoracique en urgence.

Traitement chirurgical de l’abcès par thoracotomie et épiplooplastie.

En haut à gauche, ouverture de l’abcès pulmonaire par thoracotomie intercostale en région caudale, avec ponction et aspiration initiale du contenu purulent, dans un contexte de dyspnée sévère liée à l’occupation d’environ la moitié de l’hémithorax gauche.
En haut au centre, aspect de la cavité de l’abcès après évacuation complète et nettoyage, mettant en évidence un espace résiduel important nécessitant un drainage durable.
En haut à droite, réalisation d’une laparotomie abdominale afin de prélever un segment d’épiploon destiné à être utilisé comme drain biologique.
En bas à gauche, tunnelisation sous-cutanée de l’épiploon entre la cavité abdominale et la cavité thoracique, permettant son transfert sans tension vers le site pulmonaire.
En bas au centre, mise en place de l’épiploon au sein de la cavité de l’abcès, avec marsupialisation et fixation, afin d’assurer un drainage continu et un apport local en cellules immunitaires.
En bas à droite, fermeture finale du thorax et de l’abdomen après mise en place de l’épiploon, illustrant l’utilisation de ce tissu comme drain naturel particulièrement efficace, favorisant le contrôle de l’infection, la résorption du pus, l’apport vasculaire et la cicatrisation en chirurgie thoracique.

Chirurgie vasculaire et malformations congénitales

Certaines malformations congénitales peuvent nécessiter une prise en charge chirurgicale, lorsqu’elles entraînent un retentissement clinique ou un risque d’évolution défavorable.

La persistance du canal artériel en est un exemple typique. Chez le chiot ou le chaton, ce vaisseau, normalement destiné à se fermer après la naissance, reste perméable et maintient une communication anormale entre l’aorte et l’artère pulmonaire. Cette circulation de dérivation provoque une surcharge du cœur et des poumons, pouvant conduire progressivement à une intolérance à l’effort, une toux, un essoufflement, un retard de croissance, puis à une insuffisance cardiaque si aucune correction n’est réalisée. 

Le diagnostic repose sur l’examen clinique, souvent évocateur (souffle continu caractéristique), et surtout sur l’échocardiographie, qui permet de confirmer la présence du canal et d’en apprécier le retentissement. 

Lorsque l’indication est posée, le traitement vise à fermer ce canal de façon fiable, afin de supprimer la dérivation et de permettre une récupération cardio-respiratoire. Ces interventions sont réalisées dans un cadre rigoureux, avec une planification précise, une anesthésie adaptée, une surveillance peropératoire et postopératoire attentive, et un suivi clinique et échographique, dans l’objectif d’obtenir une amélioration durable de la qualité de vie de l’animal.

Reconstruction tridimensionnelle d’une persistance du canal artériel chez un chien.

La flèche verte met en évidence le canal artériel persistant, correspondant à une communication anormale entre l’aorte et l’artère pulmonaire qui aurait normalement dû se fermer après la naissance. Cette anomalie congénitale entraîne une dérivation sanguine responsable d’une surcharge cardio-pulmonaire, justifiant une prise en charge chirurgicale lorsqu’elle est diagnostiquée.

Chirurgie de persistance du canal artériel par ligature.

À gauche, ouverture du thorax par thoracotomie avec maintien de l’écartement costal à l’aide d’un écarteur de Finochietto, permettant un accès direct et sécurisé au médiastin.
Au centre, dissection minutieuse des structures vasculaires et passage d’un fil de suture à l’aide d’un clamp spécifique en arrière du canal artériel persistant, en vue de réaliser une double ligature.
À droite, canal artériel complètement ligaturé par deux nœuds successifs, interrompant la communication anormale entre l’aorte, située au-dessus de la ligature, et le tronc pulmonaire, situé en dessous, avec un résultat immédiat et durable lorsque la ligature est complète.

Chirurgie des tissus mous superficiels et oncologie

La chirurgie des tissus mous comprend également la prise en charge des masses cutanées et sous-cutanées, des tumeurs, des abcès et des lésions des tissus superficiels. Ces interventions peuvent avoir un objectif diagnostique, avec l’exérèse et l’analyse des tissus, ou thérapeutique, dans une logique de contrôle local de la maladie.

Chaque cas est évalué individuellement afin de définir l’étendue de l’exérèse, la nécessité d’examens complémentaires et les modalités de suivi.

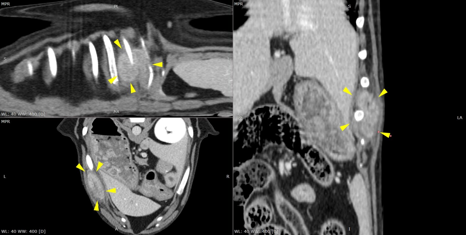
Scanner thoracique en reconstruction multiplanaire (MPR) illustrant un sarcome costal chez un chien.

Les reconstructions dans les trois plans mettent en évidence une masse tumorale infiltrante développée à partir des côtes gauches, avec atteinte des tissus mous adjacents et déformation locale de la paroi thoracique, comme indiqué par les flèches. Ce type d’imagerie permet une caractérisation précise de l’extension osseuse et extra-osseuse de la tumeur, indispensable à la planification d’une chirurgie oncologique large et raisonnée.

Chirurgie avec résection costale et reconstruction pariétale sur le chien cité ci-dessus.

De gauche à droite et de haut en bas, l’intervention débute par l’exérèse large de la tumeur thoracique, incluant la résection de trois côtes infiltrées afin d’obtenir des marges chirurgicales satisfaisantes. La dissection se poursuit par le retrait complet de la masse tumorale, avec libération soigneuse des adhérences aux tissus adjacents. Une fois la tumeur retirée, un large défect de la paroi thoracique est visible, laissant apparaître le poumon sous-jacent. La reconstruction débute par la mise en place d’un filet de polyéthylène destiné à restaurer la continuité et la rigidité de la paroi thoracique. Le filet est ensuite fixé et suturé, permettant le rapprochement des tissus et la reconstitution d’une paroi thoracique fonctionnelle et stable. Le dernier cliché illustre l’état clinique du chien le lendemain de l’intervention, confortable, mobile, sans douleur apparente, et apte à rentrer à domicile.

Une chirurgie intégrée dans une démarche médicale globale

À la Clinique Sirius, la chirurgie des tissus mous s’inscrit dans une démarche globale, raisonnée et centrée sur le patient. L’objectif est de proposer une prise en charge adaptée, fondée sur une évaluation précise, une technique chirurgicale maîtrisée et un suivi attentif.

Cette approche permet de répondre à une grande diversité de situations cliniques, tout en respectant le confort de l’animal et en assurant une information claire et transparente pour les propriétaires.

© Clinique Sirius • Made by Yume